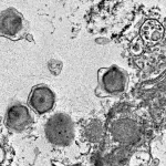
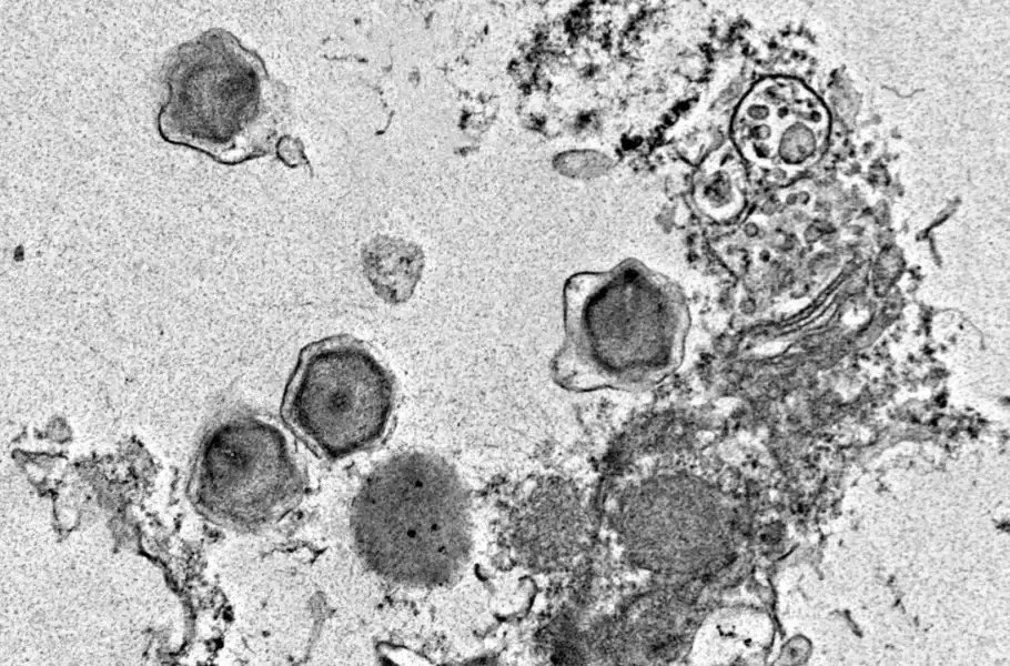
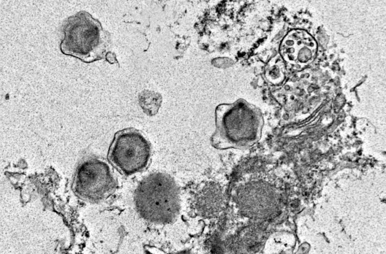
کشف عجیب: ۲۳۰ ویروس غولپیکر در اقیانوس که فوتوسنتز گیاهان دریایی را دستکاری میکنند
دانشمندان بیش از ۲۰۰ ویروس غولپیکر جدید را در اقیانوس شناسایی کردهاند که فتوسنتز جلبکها را دستکاری میکنند. دانشمندان بیش از ۲۰۰ ویروس غولپیکر جدید در آبهای اقیانوس شناسایی کردهاند که نهفقط در شکلدادن به ادامه مطلب
کشف غافلگیرکننده دانشمندان: گیاهان میتوانند هوا را آلوده کنند
گیاهان در دفاع از خود ممکن است آلودگی هوا ایجاد کنند\ ایزوپرن؛ معمای حلنشده گیاهان به گزارش نیواطلس، دانشمندان مدتهاست میدانند گیاهان مادهای طبیعی به نام ایزوپرن (isoprene) ترشح میکنند اما دلیل و نحوه این ترشح مشخص نبود. ادامه مطلب
نخستین بار؛ تولید روغن از گیاه کاملینا
به گزارش روابط عمومی دانشگاه رازی، گیاه روغنی و دارویی کاملینا برای اولین بار در کشور توسط دکتر دانیال کهریزی عضو هیئتعلمی دانشگاه رازی در کمیته ملی ثبت و معرفی رقم گیاهان، به نام “سهیل” ادامه مطلب
آیا پسماند حشرات گنجی برای کشاورزان به شمار میرود؟
بر خلاف ما انسانها، حشرات وقتی رشد میکنند پوست میاندازند و پوستههایی پر چین و چروک از اسکلت بیرون خود به جا میگذارند که افکنه (Exuviae) نام دارند. از طرف دیگر، آنها نیز مانند ما ادامه مطلب
دانشمندان روشی برای رشد گیاه بدون نیاز به نور خورشید کشف کردند
بنابر اعلام محققان دانشگاه دلاور، آنها روش تازهای یافتهاند که بر اساس آن نیاز طبیعی گیاهان به فتوسنتز از بین میرود و برای رشد میتوانند بدون نیاز به نور خورشید از گونهای فتوسنتز مصنوعی بهرهمند ادامه مطلب
هشدار دانشمندان: قارههای زمین با سرعتی بیسابقه درحال خشکشدن هستند
تحلیل جدید دانشمندان نشان میدهد که قارههای زمین با سرعتی بیسابقه درحال ازدستدادن آب شیرین خود هستند و این پدیده اکنون بیش از ذوبشدن صفحات یخی، به بالا آمدن سطح آب دریاها منجر میشود. این ادامه مطلب
این گجت پوشیدنی وضعیت سلامت گیاهان را بررسی میکند
محققان انجمن شیمی آمریکا گجت پوشیدنی جالبی اختراع کردهاند که با ارائه اطلاعات و دادههایی، کاربران را از وضعیت سلامتی گیاهان خود مطلع میکنند. با استفاده از این گجت میتوان متوجه شد که گیاهان چه ادامه مطلب
مواد بیولوژیکی تولیدشده توسط پرینتر سهبعدی میتوانند آب را تصفیه کنند
محققان دانشگاه کالیفرنیا، سن دیگو، یک روش جدید سازگار با محیطزیست برای حذف آلایندههای شیمیایی از بدنههای آبی و تصفیه ایجاد کردهاند. حذف آلایندهها از آب یک فرایند بسیار مهم و دشوار است. در سالهای ادامه مطلب
مطالعه جدید: باغبانی میتواند به کاهش خطر ابتلا به سرطان و افزایش سلامت روان کمک کند
دانشمندان با انجام یک کارآزمایی تصادفی و کنترلشده روی افرادی که باغبانی میکنند، نشان دادهاند که این دسته از افراد فیبر بیشتری میخورند و فعالیت بدنی بیشتری دارند؛ دو عامل شناختهشدهای که باعث کاهش خطر ادامه مطلب
اولین گلخانه زیر آب جهان با تنوع بیش از 100 نوع میوه و سبزی
«باغ نمو» با شش گنبد بزرگ و شفاف، اولین گلخانه زیر آب جهان با تنوع بیش از 100 میوه و سبزی، در منطقه لیگوریا ایتالیا واقع شده است. محیط اقیانوس ویژگیهایی از جمله ثبات دماٰ، ادامه مطلب