۰

کشف عجیب: ۲۳۰ ویروس غول‌پیکر در اقیانوس که فوتوسنتز گیاهان دریایی را دستکاری می‌کنند

بازدید 270

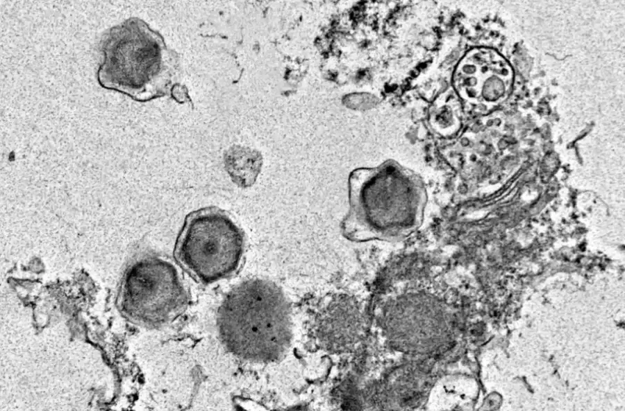
دانشمندان بیش از ۲۰۰ ویروس غول‌پیکر جدید را در اقیانوس شناسایی کرده‌اند که فتوسنتز جلبک‌ها را دست‌کاری می‌کنند.

دانشمندان بیش از ۲۰۰ ویروس غول‌پیکر جدید در آب‌های اقیانوس شناسایی کرده‌اند که نه‌فقط در شکل‌دادن به اکوسیستم‌های دریایی نقش دارند، بلکه فرایند فتوسنتز جلبک‌ها را نیز دست‌کاری می‌کنند.

این ویروس‌های بزرگ که پیشتر تقریباً از دید علم پنهان مانده بودند، با بهره‌گیری از ابررایانه‌های قدرتمند و ابزار جدیدی به نام BEREN کشف شده‌اند.

ویروس‌های غول‌پیکر در بقای جانداران تک‌سلولی دریایی به نام «آغازیان» نقش دارند. این جانداران شامل جلبک‌ها، آمیب‌ها و تاژک‌داران هستند که در پایه زنجیره‌های غذایی اقیانوس قرار گرفته‌اند.

ازآنجاکه آغازیان بخش مهمی از این زنجیره غذایی را تشکیل می‌دهند، ویروس‌های DNA ‌دارِ بزرگ اغلب مقصر تهدیدهای گوناگون برای سلامت عمومی، از جمله شکوفایی‌های جلبکی زیان‌بار، به شمار می‌آیند.

مطالعه‌ جدید دانشمندان مدرسه علوم دریایی، جوی و زمین‌شناسی «روزن‌استیل» ممکن است به روشن‌ شدن تنوع گسترده ویروس‌های موجود در آبراه‌ها و اقیانوس‌های ما کمک کند.

این دانش احتمالاً به مسئولان محلی کمک می‌کند در مواجه با شکوفایی جلبکی زیان‌بار که ممکن است بر سواحل آنها تأثیر بگذارد، آمادگی بیشتری داشته باشند یا درصورت وجود ویروس‌های دیگر در خلیج‌ها، رودخانه‌ها یا دریاچه‌های محلی، واکنش بهتری نشان بدهند.

(شکوفایی جلبکی به رشد سریع و انفجاری جمعیت جلبک‌ها (معمولاً فیتوپلانگتون‌ها) در آب‌های سطحی دریاها، دریاچه‌ها، رودخانه‌ها یا آبگیرها گفته می‌شود.)

پژوهشگران با استفاده از روش‌های رایانش با توان بالا، ۲۳۰ ویروس غول‌پیکر جدید را در مجموعه داده‌های متاژنومی دریاییِ در دسترس عموم شناسایی کرده و عملکردهای آنها را بررسی کرده‌اند.

یافته‌های این پژوهش که در نشریه Nature npj Viruses منتشر شده، شامل کشف ژنوم‌های جدیدی از ویروس‌های غول‌پیکر است که پیشتر در منابع علمی ناشناخته بودند.

پژوهشگران با مطالعه این ویروس‌ها امیدوارند بتوانند شکوفایی‌ جلبکی زیان‌بار را پیش‌بینی و از آنزیم‌های نوظهور موجود در ژنوم این ویروس‌ها کاربردهای زیست‌فناورانه جدیدی پیدا کنند.

درون این ژنوم‌ها، ۵۳۰ پروتئین عملکردی جدید شناسایی شده که ۹ مورد آنها در فرایند فتوسنتز نقش دارند. این مسئله نشان می‌دهد این ویروس‌ها احتمالاً می‌توانند هنگام عفونت میزبان خود و فرایند فتوسنتز را تحت‌تأثیر قرار دهند و دست‌کاری کنند.

«محمد منیرالزمان»، یکی از نویسندگان این پژوهش و استادیار گروه زیست‌شناسی و بوم‌شناسی دریایی، گفت:«با درک بهتر تنوع و نقش ویروس‌های غول‌پیکر در اقیانوس و نحوه تعامل آنها با جلبک‌ها و سایر میکروب‌های دریایی، می‌توانیم شکوفایی جلبک زیان‌بار را که در فلوریدا و سراسر جهان تهدیدی برای سلامت انسان محسوب می‌شوند، پیش‌بینی و حتی مدیریت کنیم

او افزود:

«ویروس‌های غول‌پیکر اغلب عامل اصلی مرگ بسیاری از فیتوپلانگتون‌ها هستند؛ جاندارانی که پایه زنجیره غذایی را تشکیل می‌دهند و از اکوسیستم‌های دریایی و منابع غذایی پشتیبانی می‌کنند. عملکردهای نوینی که در این ویروس‌ها شناسایی شده‌اند، می‌توانند پتانسیل زیست‌فناورانه داشته باشند؛ زیرا برخی از این عملکردها ممکن است نشان‌دهنده آنزیم‌های کاملاً جدیدی باشند.»

تا همین اواخر، ویروس‌های غول‌پیکر به‌دلیل محدودیت‌های موجود در سامانه‌های بیوانفورماتیکی، تا حد زیادی از دید روش‌های علمی پنهان مانده بودند.

پژوهشگران ابزاری نوآورانه به نام BEREN (ابزار بیوانفورماتیکی برای بازیابی ویروس‌های یوکاریوتی از متاژنوم‌های محیطی) طراحی کردند که هدف آن شناسایی ژنوم ویروس‌های غول‌پیکر میان دیتاست گسترده توالی‌یابی DNA عمومی است.

«بنجامین مینچ»، نویسنده اصلی این پژوهش و دانشجوی دکترای گروه زیست‌شناسی و بوم‌شناسی دریایی مدرسه «روزن‌استیل»، گفت:

«کشف کردیم ویروس‌های غول‌پیکر ژن‌هایی دارند که در عملکردهای سلولی مانند متابولیسم کربن و فتوسنتز نقش دارند؛ عملکردهایی که فقط در جانداران سلولی یافت می‌شوند.»

او ادامه داد:

«این موضوع نشان می‌دهد ویروس‌های غول‌پیکر نقش بسیار پررنگی در دست‌کاری متابولیسم میزبان خود هنگام عفونت ایفا می‌کنند و بر زیست‌زمین‌شیمی دریایی تأثیرگذارند.»

نویسندگان این پژوهش برای پردازش و سرهم‌کردن متاژنوم‌های حجیم از ابررایانه «پگاسوس» در دانشگاه «میامی» استفاده کردند. این توان محاسباتی امکان بازسازی صدها کتابخانه از جوامع میکروبی را فراهم کرده است.

«مینچ» افزود:

«این پژوهش به ما امکان داد چارچوبی بسازیم که ابزارهای موجود برای شناسایی ویروس‌های نوظهور را بهبود بدهند. این اتفاق می‌تواند توانایی ما را در پایش آلودگی‌ها و عوامل بیماری‌زا در آبراه‌ها تقویت کند.»

تیم پژوهشی داده‌های توالی‌یابی DNA را از پروژه بزرگ نمونه‌برداری جهانی اقیانوس‌ها که از قطب شمال تا قطب جنوب را در بر می‌گرفت، دریافت کردند.

دانشمندان با استفاده از ابزار BEREN ژنوم‌های ویروس‌های غول‌پیکر را از این داده‌ها استخراج کردند. سپس این ژنوم‌ها، با بهره‌گیری از پایگاه‌های داده عمومی عملکرد ژن‌ها، توضیح عملکرد (Annotation) گرفتند تا نقش‌هایی را که این ویروس‌ها کدگذاری‌ کرده‌اند، شناسایی شود. همچنین این ژنوم‌ها با تمام نمایندگان ویروس‌های غول‌پیکر موجود در داده‌ها مقایسه شدند تا عملکردهای نوین کشف شوند.

برنامه BEREN که در این پژوهش استفاده شد، خلأ حوزه تحقیقات را با ارائه ابزاری آسان، کاربردی و جامع برای شناسایی و طبقه‌بندی ویروس‌های غول‌پیکر در داده‌های توالی‌یابی پر کرده است.

نظرات کاربران

دیدگاهتان را بنویسید

نشانی ایمیل شما منتشر نخواهد شد. بخش‌های موردنیاز علامت‌گذاری شده‌اند *

مشاهده بیشتر

فعال کردن اعلان سایت بله، ممنون نه، متشکرم